
No dia 22 de junho cerca de meia hora antes de uma corrida tropecei e torci o pé direito.
Ao colocar o pé no chão senti um desconforto e passei a mancar. Tirei o tênis e coloquei um pouco de gelo no local.
Apesar do alívio momentâneo percebi que não teria condições de correr a prova de 10 km. Então escolhi a caminhada de 2,5 km.
A caminhada foi feita em um ritmo bem lento com um pouco de desconforto no pé.
Depois de completar a caminhada e pegar a minha medalha fui conversar com a equipe que presta atendimento médico. O socorrista examinou o meu pé e disse que se tratava de uma torsão.
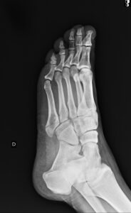
Resolvo passar no hospital antes de ir para casa. No hospital fui atendido pelo ortopedista de plantão que solicitou raio X para verificar como ficou o osso.
As duas imagens confirmaram a fratura da base do quinto metatarso.
O médico prescreveu anti-inflamatório de 12 em 12 horas por uma semana e o uso de uma bota imobilizadora de tornozelo e pé por trinta dias.
Depois de três semanas retornei ao hospital para a avaliação com uma ortopedista especialista em pé.
Foram feitas três imagens do local da fratura. De acordo com a análise a recuperação do osso estava dentro do esperado para o prazo de três semanas.
A ortopedista recomendou continuar usando a bota por mais três semanas e retornar para uma nova avaliação.
Ao completar com as seis semanas retornei para a avaliação. Foram feitas três novas imagens e a comparação com as imagens anteriores mostrou uma boa evolução, chegando bem perto dos 100%.
A médica indicou a retirada da bota e a realização de dez sessões de fisioterapia. A prioridade passou a ser a recuperação dos movimentos do pé e o fortalecimento da musculatura.
Após uma rápida pesquisa encontrei um clínica de Fisioterapia e Pilates que a fisioterapia esportiva como uma das suas especialidades.
Outro fator que influenciou bastante na escolha foi o fato da clínica estar localizada a pouco mais de um quilômetro da minha casa.
Por enquanto estou liberado para a caminhada. Depois de terminar as dez sessões de fisioterapia vou ser avaliado pela ortopedista.